SurgeXperiences 206
September 14, 2008 § 12 Comments

Myelomatosis
Welcome to the 6th edition of season 2 of SurgeXperiences, the one and only surgical blog carnival. It’s my third time hosting this, and it’s been a very interesting each time. I initially came up with the theme “visuals” for this edition. But as the submissions started to flood my inbox, I soon abandoned it. So although I provide you with some visuals, the blogging this time is too diverse to box in.
The images in this edition are all microscopic photos of stained histologic sections and cytologic smears of different types of cancer. In all its horror, even cancer can at some level be beautiful. This edition of SurgeXperiences presents posts on both the beauty and horrors of the surgical world.

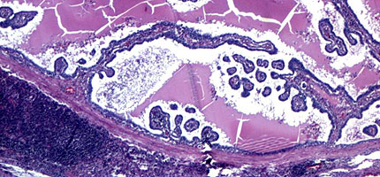
Papillary thyroid carcinoma
We’ll start off with two posts from South African general surgeon bongi. He writes about what work is like when there’s surgery to be done and not a glove to be found.
Or when you operate on an HIV positive patient and accidentally stab yourself with the suture needle.
Harsh reality.

Capillary hemangioblastoma
In her brilliantly titled “Doctors Wanted – No Women Need Apply” – NOT! posted at Mothers in Medicine, anesthesiologist T writes about some of the first female physicians in America, fighting their way up in the (then) male dominated medical world.
Also at Mothers in Medicine, general surgeon G wonders if the parentheses around “then” should be dropped altogether, as the concept of a pregnant surgeon still is a foreign one to a lot of (male) surgeons.
Over at Scalpel’s Edge, Cris Cuthbertson advices a friend who’s studying medicine to consider both children and all other life projects when choosing her medical speciality. And to be ready to compromise.

Mammary ductal carcinoma in situ
Occupational Therapist Grace Young writes about minimally-invasive Quad-Sparing (QS) knee replacement, a procedure she went through herself, but has found little information about.
rlbates at Suture for a Living shows us her surgical loupes. It seems that wearing a pair comfortably may involve a lot of tape.
In one of her more encyclopedic posts, the same rlbates describes Mondor’s Disease, an uncommon disease of the pectoral region that can be intiated by trauma, infection, or surgery.

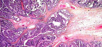
Colorectal adenocarcinoma
bongi considered not telling the story he’s called the last goodbye. A very hard story about when there’s nothing more to do, nothing will probably be the right thing to do. I’m glad he told it.
In an anatomically related post scanman Vijay presents some interesting CT images of colorectal malignancies.

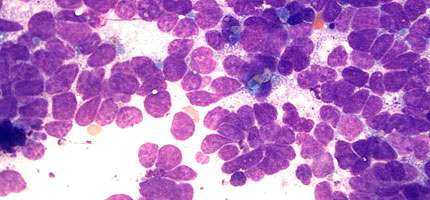
Chronic myelogenous leukemia
Surgical resident Dr. Piltz writes a very vivid and engaging recap of a 24 hour call. You feel you’re standing beside the surg as he’s hurrying to place an artery line on a patient who’s coded. A very stressful read. Recommended.
Med student Kendra Campbell was also on call – her first surgical night call. It ended with her coming close to running out of the hospital. She wonders if med school really have to be pure hell.

Chordoma
Dr. Keagirl shares the indescribable frustration of loosing cancer patients who, ignoring her advice, put their trust in alternative medicine.
James J. Gormley also writes about alternative medicine, but in relation to treatment of terminal patients. In his post Medical Futility …. or Failure to Hope?, he argues that it’s not the technical abilities of medicine or surgery that fails for these patients.

Small cell lung carcinoma
Alvaro Fernandez at Sharp Brains offers an interview with Lee Woodruff. She is the wife of reporter Bob Woodruff, who suffered a life-threatening traumatic brain injury while working in Iraq. An injury he later completely recovered from, despite spending 37 days in a coma and having his skull surgically rebuilt. Now he’s helping other traumatic brain injury survivors.

Intratubular germinal cell neoplasia
Time to wrap up. Here’s a tip on what to wrap up in gift paper for Christmas, if you want to win the heart of a surgeon. And as I love puns, I’ll let bongi end this edition with his story of a macerated nipple.
That’s it for now. The next edition of SurgeXperiences will be hosted on September 28th by Buckeye Surgeon. Submit your posts by September 26th using this form.
All images from www.oncolex.no.
[…] 206 up at Sterile Eye 6th edition of SurgeXperiences goes to The Sterile Eye. Head over for a visual feast of histological […]
[…] one and only SURGICAL blog carnival, SurgeXperiences is now up at Sterile Eye. This is the 6th edition of the 2nd […]
[…] Comments SurgeXperiences 206 « The Sterile Eye on CT in Colorectal Cancer – 5It’s me, T.J. on CT in Colorectal Cancer – 6Cuckoo on CT in […]
nice. thanks for the links
Very nice edition!
Nice job! I was able to read posts by some folks I had not been familiar with.
Thank you all!
Very nice post and visuals
As a medical student, histology is associated with studying for me, but it was nice to see things from a more aesthetic point of view. The pictures are so beautiful!
[…] SurgeXperiences 206 (14 Sept 08): (Hosted at “The Sterile Eye“) […]
[…] SurgeXperiences 206 (14 Sept 08): (Hosted at “The Sterile Eye“) […]
[…] SurgeXperiences 206 (14 Sept 08): (Hosted at “The Sterile Eye“) […]